Автор: протойерей Игор Рябко
Според една скорошна публикация човек може да живее нормално живот на практика без мозък. Тоест, той живее като другите, с нищо не се отличава от другите хора, но на практика у него няма мозък. Мястото, където трябва да бъде мозъкът, е празно.
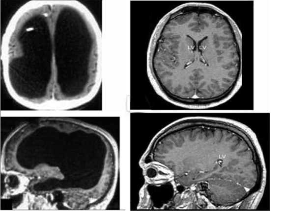
За сравнение, от лявата страна е мозъкът на човека, а от дясната страна е мозъкът на обикновен човек.
Този човек, който няма мозък, е жив, на повече от четиридесет години, има жена, деца и не се различава от обикновените хора.
Този феномен дава основание на учените да твърдят, че може би съзнанието ни не е пряко свързано с мозъка ни. Мен ме радва само едно: нашата наука скоро ще достигне до истината, която са притежавали неандерталците, ако се съди по погребенията им. Още малко тя ще се „ще стигне” до знанията на хората от каменната ера.
Мозъкът ни наистина е сложно нещо. Двадесет и осем милиарда неврона има само в мозъчната му кора. Това са три милиона километра невронна мрежа. В човешкия ембрион невроните се образуват със скорост 500 000 в минута (30 милиона в час). Поради тази причина мозъкът на бебето изразходва 50% от енергията на организма, докато мозъкът на възрастния човек – около 25%. Но ако се опитаме да създадем компютър, който може да възпроизведе същото количество операции като нашия мозък, той ще изисква същото количество енергия като няколко десетки колайдера. И в действителност мозъкът ни използва същото количество енергия като 30-волтова крушка.
Един неврон в мозъка ни има около 40 000 връзки с други неврони. Те се наричат синапси. Ако умножим всичко това по броя на невроните, ще получим зашеметяваща цифра – един квадрилион синапси. И това е само в кората на главния мозък! Броят на невронните връзки в мозъка е по-голям от броя на звездите във Вселената. Не мога да разбера, как според гледната точка на атеистите, всичко това е могло да стане от само себе си.
Но въпреки това учените са решили, че тази сложна връзка ни осигурява съзнание. Защото е сложно. Но тук има един проблем. Например в малкия мозък, който отговаря за координацията на движенията, има много повече невронни връзки, отколкото в кората на главния мозък. Тогава защо съзнанието не се появява там? Враните имат много висок коефициент на интелигентност, но нямат никаква мозъчна кора – мозъкът им е гладък. Съзнанието не е резултат от сложността. Молекулярните биохимични процеси в мозъка и дрождите са едни и същи, но разликата е очевидна. Така че става дума за нещо друго.
Неотдавна група холандски учени, ръководени от Пим ван Ломел, публикуваха в авторитетното списание Lancet резултатите от дългогодишни изследвания на мозъчните функции.
Използвайки собствен метод за работа с пациенти, холандците доказват, че съзнанието не е функция на мозъка. Ван Ломел предполага, че мозъкът не е никаква „мислеща материя” и може би такава материя изобщо не съществува.
По същото време, холандците учени и една група британски изследователи от клиниката в Саутхемптън стигат до аналогични заключения. Както те, така и други учени ясно заявяват: мозъкът не е мислеща материя. Чрез многобройни експерименти е доказано, че човек е способен да мисли дори когато мозъкът му вече е мъртъв.
Специалният термин NDE (near death experience – почти смъртен опит) е навлязъл в медицината. Известно е, че клиничната смърт настъпва в резултат на спиране на сърдечната дейност, придружено от спиране на дишането и хипоксия (недостиг на кислород) в мозъка. Много кратко време след спирането на сърцето мозъкът спира да функционира: електроенцефалограмата се превръща в напълно права линия.
Лекарите са сблъсквали с много случаи, когато медицински устройства са регистрирали пълно спиране на мозъчната дейност (мозъчна смърт) на хората, но след реанимация пациентите са разказвали какво точно се е случвало с тях в момента, когато мозъкът им бил мъртъв. Те винаги виждали телата, като странични наблюдатели. Така в медицината се появява друг термин: OBE – out-of-body experience, преживяване извън тялото.
Ето един пример, описан от Ван Ломел. В клиниката е бил докаран пациент в кома. Обдишването уста в уста, сърдечния масаж и фибрилациято не дали никакъв резултат. Мозъкът бил мъртъв, електроенцефалограмата се разтеглила в права линия. Когато решили да го интубират, се оказало, че пациентът има протеза в устата си. Медицинската сестра извадила протезата от устата му и я поставила на подвижна маса. След час и половина сърдечният ритъм и кръвното налягане на пациента се нормализирали… Седмица по-късно, когато същата медицинска служителка разнасяла по стаите лекарствата на пациентите, „възкръсналият” мъж я видял и казал:
– Вие знаете къде е протезата ми! Вие ми я извадихте от устата ми и я сложихте на една маса на колелца!
След по-нататъшното разпитване на този пациент станало ясно, че той видял себе си отгоре как лежи на болничното легло. Описал подробно стаята и поведението на всички присъстващи в момента на безусловната смърт. Страхувал се, че лекарите ще спрат реанимацията, отчаяно искал да им каже, че е жив…
Ван Ломел и неговите колеги и съмишленици основават убеждението си, че съзнанието е способно да съществува независимо върху чистотата на експеримента. За да се изключат случаите на фалшиви спомени (ситуации, при които хората, слушащи разкази на други хора за „пътуването им в другия свят”, изведнъж също си „спомнят” нещо, което самите те никога не са преживявали), религиозна екзалтация и други подобни, учените внимателно проучват всички фактори, които биха могли да повлияят на съобщенията на пациентите. Всички наблюдавани лица били в отлично психическо здраве. Те били на възраст от 26 до 92 години, мъже и жени, с различна степен на образование и религиозност. Изводите на Ван Ломел са недвусмислени:
- NDE виденията се появяват точно тогава когато мозъкът спира своята дейност.
- Те не могат да бъдат обяснени с физиологични причини, като например недостиг на кислород в мозъчните клетки или въздействие на лекарства.
- Визуалните видения на слепите пациенти не се различават от тези на зрящите.
Други изследвания в областта на ЛСД терапията са установили, че човек може да си спомни събития, които по принцип не би могъл да си спомни. Това е така, защото по това време той не е имал какво да си спомни, както смята науката. Формирането на паметта е възможно благодарение на миелинизацията на нервните влакна, която позволява разпространението на нервния импулс. Тъй като миелинизацията на обвивка на церебралните неврони при новороденото все още не е завършена, се стига до заключението, че е невъзможно в паметта му да се запишат преживяванията преди и по време на раждането. Всъщност се оказва, че това не е така. Паметта на човека съдържа не само „биографичен”, но и пренатален и перинатален опит. Могат да се посочат и други примери за относителността на онези знания, което наричаме научни знания.
Всичко това говори, че вярата ни отваря врати към света, а науката – отваря само тесен процеп. Вярата отдавна знае, че тялото е пространствената граница на личността, която тя използва, за да прояви присъствието си в материалния свят. Ние рефлексираме (размишляваме) за света не с тялото ни, а с душата, която живее в това тяло.
Чуйте какво казва за вярата и знанието големият съвременен старец Йосиф Исихаст: „Когато вярата се вкорени, тогава знанието е напълно премахва, което поражда съмнение във всичко и намалява вярата. Когато обаче след многобройни изпитания вярата победи, тогава знанието се преобразява и се дава на човека дарът на духовното знание, което не се противопоставя на вярата, а лети на крилете ѝ и изследва дълбините на тайните. Тогава вярата и знанието стават неразделни сестри”.
превод от руски: Виталий Чеботар
източник: текст и снимки – сайт „Православие FM” –
https://pravoslavie.fm/articles/nauka-podtverzhdaet-sushhestvovanie-dushi-prot-igor-ryabko/

